В России впервые диагностированы случаи заболевания, известного как EVALI (E-cigarette, or Vaping, product use Associated Lung Injury) или "болезнь вейперов". Первыми пострадавшими стали подростки из Томска, сообщает Telegram канал Топор-Live.
У одного из подростков врачи диагностировали облитерирующий бронхиолит, который в США известен как EVALI, у второго обнаружено токсическое поражение нервной системы, вызванное курительными смесями.
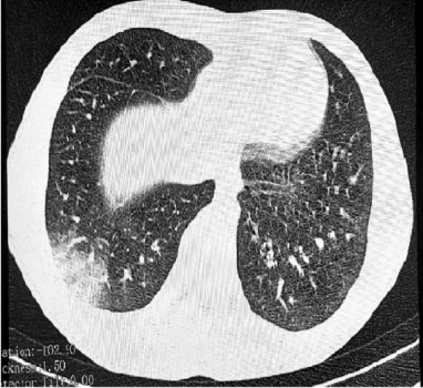
EVALI представляет серьезную угрозу для здоровья. При этом заболевании происходит воспаление и рубцевание бронхиол – мельчайших разветвлений дыхательных путей. В результате поражения дыхательной системы при дыхании может появляться характерный звук, напоминающий лопающийся попкорн, из-за чего болезнь также получила неофициальное название "попкорновая".
Медики отмечают, что эффективного лечения от данного заболевания в настоящее время не существует. Случаи EVALI широко регистрировались в США с 2019 года и связывались с использованием электронных сигарет и вейпов.
